

当院の審美歯科では,
近年開発されたセラミック系の
ノンメタル歯冠修復治療を行っています
ノンメタル治療とは,
セラミック単体(オールセラミックス)やジルコニア単体(フルジルコニア),またはセラミックとジルコニアとの組み合わ(セラミック+ジルコニア)を使用し,従来の金属の裏打ちを必要とした前装冠で起こりがちな「歯茎が黒く見える」・「透明感が無い」などの問題を改善する治療です.また,ノンメタルのため金属アレルギー発現の心配もありません.
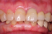
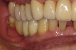
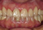
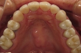
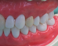
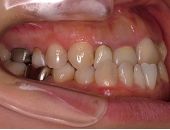
施術CASE1(フルジルコニア)
⇔ 
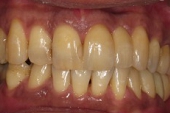
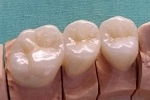
施術CASE2(オールセラミックス)
⇒ 
施術CASE3(オールセラミックス)
⇒ 
⇒ 
施術CASE4(オールセラミックス)
⇒ 
※セラミック系の治療には適応症があります.
噛み合せ状態や噛む力の大きさ・バランスなどによっては被せたセラミック歯の破折等のリスクがあります.
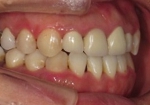
施術CASE5(フルジルコニア)
..
施術CASE6(オールセラミックス)
⇒
...
施術CASE7(フルジルコニア)
⇒ 
.
施術CASE8(オールセラミックス)
⇒ 
.
...
![]()
保険外(自費)診療¥30,000以上のお支払いには
クレジットカードがご利用になれます.
お口のなかの銀歯↓
気になりませんか?
保険適用メタルクラウン

セラミック系ジルコニア
セラミックは,天然の歯のような白艶色を
再現できる美しい歯科材料です.

当院の審美治療では,前歯だけではなく
奥歯 (小臼歯・大臼歯)にも「白い歯」を被せる
セラミック&ジルコニア治療が可能です.
適用ケース:
・クラウン治療(被せ物)
・インレー修復(詰め物)
・ブリッジ治療
・メタルクラウンの審美不足
・変色歯の治療
・形態修正・改善
・金属アレルギー解消
・天然歯の磨耗回復 など

◆オールセラミックス
・前歯レイヤリング法¥99,000
・臼歯ステイン法¥93,500
◆フルジルコニア
・前歯ステインカラー¥99,000
・臼歯ステインカラー¥93,500
・臼歯スタンダードカラー¥88,000
◆ジルコニア+セラミックレイヤリング:¥121,000
◆PFMメタルボンドセラミックス
・¥99,000+バッキングメタル料
◆ハイブリッドセラミックス
・メタルバッキング法¥49,500
・ノンメタル法¥44,000
〈全て税込み,前処置料・形成印象料は別途です>
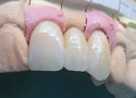
【↓臼歯のジルコニア-セラミック施術例】
ジルコニア冠スタンダード
|
ジルコニア連結冠
|
フルジルコニア単冠×2
|
ジルコニア3連冠
|
オールセラミックス左#4-6
|
ジルコニア3歯連結冠
|
オールセラミック:スステイン
|
PFMメタルボンドブリッジ
|
|
|
|
ジルコニア2歯連結冠×2
|
|
ジルコニア単冠×2
|
ジルコニアブリッジ:ステイン
|
右下#5,6.フルジルコニア
|
|||||||||||
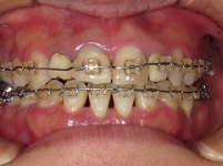
施術CASE10(矯正治療との併用)
患者様のご要望:
「前歯をキレイにしたい」「受け口を治したい」
.
.
【治療前の症状】
・全体的な歯肉の炎症
・反対咬合(受け口)
・叢生(歯並びの凹凸)
・不適合な修復物による歯周炎
・審美的に劣るクラウン(被せ物)

下顎の1本抜歯で矯正治療を開始.
(歯科矯正用アンカースクリューを併用)
動的治療26ヶ月(24回),矯正費用概算62万円
矯正治療の終了後,
・ホワイトニング治療
・歯肉整形術
・レーザー治療(歯肉の活性化)を行い,
審美クラウン治療に移行し全過程を終了しました.
。
。
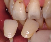
施術CASE(ラミネートベニア) 
セラミックシェルを,歯面に接着(変色部は削除)して変色を改善する治療です.
<¥99,000~/本>
※前処置料は別途になります(自費治療)
・・・・・・・・・・・・・・・・・・
ラミネート治療の工程:
1.ホワイトニングやレジン樹脂置換で,
ある程度の変色改善を行う
2.残った変色歯質を削除
3.歯型を採り,セラミックシェルを接着
。。
←セラミックシェル接着後
施術CASE(ホワイトニング治療)
..
..
当院では,変色の程度や歯の状態に応じて
・カスタムトレーにて,自宅でホワイトニングする
<1.ホームブリーチング法>や,
・低出力LED光&レーザー光の照射による
クリニック内でのホワイトニング,
<2.オフィス ブリーチング法>にて
ホワイトニング治療を行っております.
(上下各\22,000~:前処置料・鎮痛剤費別途,自費)
。
。
。
















