

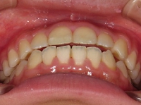
■「良い噛み合わせ」は,見た目だけではなく,
姿勢や体幹バランスにも大切なものです.
..
■不正咬合などに起因する「悪い噛み合わせ」は,
下アゴの重心バランスを崩し,姿勢の歪み
を起こす場合もあります.
歯ならびの悪化は,
噛み合わせのズレを引き起こします.
.
.
.
.
このような生活習慣↑があると,歯やアゴに悪い力が
持続的にかかり,歯は気付かない内に動いて,歯ならび
も変わってしまいます.
また,アゴの関節にも直接的な力が加わるため,原因
に自覚の無い痛みを起こす場合があります.
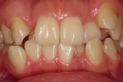
■側方からの力が持続的にかかっていると,通常で
あればU字型に発育するはずのアーチが,V字型や
台形の狭窄した歯列の形になってしまいます
。
.。。
.。。..。。。。。
↑狭い歯列アーチ(左:V字/右:台形). 拡大治療↑の例
■上顎のアーチが狭いと,下顎の前方への発育や機能はブロックされてしまい,噛む・食べる・話す,にも悪影響が出てきます.上下の歯の接触具合も悪いので,噛む効率の低下による,消化不良などの問題,容姿や姿勢,呼吸(気道)への影響も考えなければなりません.

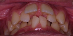
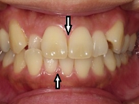
このような↓習慣があると左右が非対称のアーチに
変形し,噛み合わせのズレが起こる場合があります.
↓歯列(下顎)が左へズレている例(初診時)
。。。。
.⇒.
.:矯正治療中
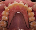
☆上下のアーチの形をライトワイヤー装置にて
修正すると,下顎のズレが解消されました.
噛み合わせに「ズレ」が起きると,咬合力の
重心バランスも偏ってきます.
オクルーザー(FPD707)
咬合力バランス測定器/オクルーザー:プレスケールプレートを噛むことにより印記された赤色を,咬合圧の違いによる濃淡として読み取り,コンピューターが圧力値に換算.咬合接触状態をディスプレイ上に表示する装置です
←オクルーザーの解析画面
噛む力の大きさ,歯と歯との接触面積,左右や前後への重心バランスのズレなどが解析,表示されます.現在,お口の中で起こっている問題の,より詳細な原因診査が出来る機器です.
<セルフチェック項目>
・口元の傾き
・顔のゆがみ
・目の大きさ開き方の左右差
・頭部の傾斜
・左右での肩の高さの違い
・背中(上半身)の傾き
アゴずれで「カラダの重心バランス」が
崩れることもあります.
グラビコーダーGS-7(ANIMA)当院では,ニューラルネット(人工知能)解析技術により,<健常・異常>の程度を自動識別できる重心動揺計を使い,ふらつき・平衡障害の測定を行っています.
■ 約2kgある下アゴに位置ズレがあると,それを補正するためにアゴ→首→上半身→下半身へとつながる重心に,バランスの変化が起こるため,重心動揺度を下アゴの位置診断の参考にしています.

重心バランスの解析データ(後傾重心です)
<噛み合わせバランス治療>
(その1,その2)
ここでは,主に下アゴの位置関係に左右的な
ズレの起こっている例を紹介します。

(その1)↑
18歳の女性の患者様で,下アゴが段々右にずれてきて奥歯と顎関節が痛いことが今回の治療動機でした.
◆お話を伺ってみると,日常的に横向き寝と頬杖(左)の生活習慣があるようでした.
<治療法と術後>
....
↑全顎タイプの「スプリント治療」と「マウスピース型矯正治療」を交互に行うことにより,下顎の本来の位置(このケースでは左側)へ誘導しつつ,変形した歯列を整えることにより,噛み合わせが正常に近くなり歯や顎関節の痛みも消失しました.
動的治療期間14ヶ月13回/費用概算60万円.

(その2)↑.
このケースは,下顎が横(右側)に大きくズレていて,上顎の歯並びに凸凹もみられます.
<治療経過>
.
↑スプリント療法と,マルチブラケット矯正を併用して治療を行いました.下顎にオクルーザルスプリントを使用しながら,上顎の歯列アーチの拡大および個々の歯の整列を行った結果,下顎の右方偏位は改善し,上下の歯列の正中はほぼ一致するようになりました.
噛み合わせバランス治療(その3)
顎関節の痛みも、下アゴの位置や噛み合わせの不具合に起因していることがあります.
このケースでも,ご自身で着脱可能な「カスタムメイドマウスピース」での矯正治療を行う経過で,かなり改善されました。
....
<↑初診時の噛み合わせ,と症状の経過↓>
徐々に下アゴがズレて,前歯が噛み合わなくなってきたそうです.
(頬杖などが原因で,歯並びが変わることにより下顎の後方回転が起きて「前歯部の開咬」が発生したと予測されます)

カスタムメイドマウスピース↑型矯正装置です.
厚さ1㎜のプレートを装着して行う矯正治療です.
◆診断により設定した位置に移動するように製作した各段階のマウスピースを装着して治療を進めます.
※マウスピース型矯正には適応症があります,詳細は矯正担当医にご相談下さい.
治療後アーチの拡大や,個々の歯の位置修正をアライナーにて行っていくうちに,下顎は自然に前方に誘導され,好ましい位置・噛み合わせに戻ってきました.

下顎の位置修正に伴い↑顎関節症(TMD)の症状も徐々に改善されてきたそうです.
動的治療期間13ヶ月12回/費用概算60万円.

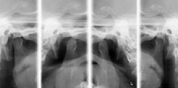
顎関節(TMJ)↑レントゲン写真
顎関節症(TMD)の自己チェック
1.あごが痛い
・何もしなくても,アゴやそのまわりに痛みがある
・口の少しの開閉でも痛みがある.
2.口を大きく開けられない
・大きなあくびやリンゴの丸かじりができない.
・人さし指から薬指までの指3本が縦に入らない.
3.アゴが疲れる
・食べ物を噛んでいるとアゴがダルくなる.
・しゃべているとアゴがくたびれる.
4.口を開けると音がする
・開閉すると耳前で「カクッ」という音が聞こえる
↑これらの症状に当てはまると「顎関節症」
の可能性があります。
・スプリント療法
・開口練習の治療
・かみ合わせの矯正治療
・歯ならびの矯正治療
当院では,上記の治療を診査のうえ行っております
噛み合わせバランス治療(その4)
←治療前/極端なV字型.
当院での咬合治療は,状態や原因に応じて様々なシステムを組み合わせて行っています.このケースでは,前方型のスプリントにて下顎位の精査と誘導を行った後に,固定式の矯正装置(拡大装置とマルチワイヤー装置)で,対応させていただきました.
←治療前/強度な前歯の前突あり
←拡大矯正治療中.
歯列幅を,治療シュミレーションから設定した数値まで,効果的で迅速な矯正装置(緩徐拡大or急速拡大)を選択して左右的に拡大しながら,前歯の状態を整えています.
←ワイヤー矯正中
治療前と比較すると下顎は,強制的に後方に押し込まれた位置から開放されたらしく,自然に前方位を表してきました.
さらに,この下顎位にて上顎の後方歯および下顎にもワイヤー矯正を施しバランス矯正治療は終了となりました(非抜歯矯正)↓.
.
⇒ 
↑矯正治療中 ↑矯正治療後
動的治療期間28ヶ月29回/費用概算65万円.